业务咨询
【评价原理】
斑马鱼成鱼的各种生理生化系统和内分泌系统已完全发育完毕,如肝脏、肾脏、心脏、神经系统等器官的功能都已趋于稳定和成熟。成鱼的代谢过程相对稳定,对于外源物质的代谢和排泄具有一定的规律性。在长期暴露于有毒物质时,其体内的代谢平衡可能会被打破,顺利获得检测相关代谢产物的含量、代谢酶的活性等指标,可以分析有毒物质对机体代谢的影响,进而评估其慢性毒性。在毒理学研究中,斑马鱼成鱼对许多化学物质的毒性反应与哺乳动物相似,包括氧化应激、炎症反应、细胞凋亡等方面。成鱼的体型较大,能够更清晰地观察其外部形态和行为变化。长期暴露于有毒物质后,可能会出现体长和体重的变化、游泳行为的异常、食欲减退等症状,这些表型特征可以作为慢性毒性评价的重要指标。可以对成鱼的不同器官进行组织切片和病理学检查,观察组织结构的变化和细胞损伤的情况。如肝脏的脂肪变性、细胞空泡化,肾脏的肾小管损伤,心脏的肌纤维排列紊乱等,从而深入分析有毒物质对器官的慢性毒性作用机制。
我们评价斑马鱼慢性毒性(6个月)有4个指标:1.实验前后斑马鱼体重、体长;2. 死亡率;3. 观察和记录其他非致死效应;4. 病理切片。
【实验方案】
我们将受测试斑马鱼分成六组,分别是正常对照组和水溶暴露供试品组(五组)(供试品顺利获得溶解到养鱼用水中摄入到斑马鱼体内)。
水溶暴露供试品一段时间过程中,我们对斑马鱼每天进行观察非致死效应和死亡情况,在终点测量斑马鱼体重、体长;处理结束后,将各组斑马鱼固定,脱水、包埋、切片、H&E染色等步骤,进行组织病理学分析观察。
【结果展示】

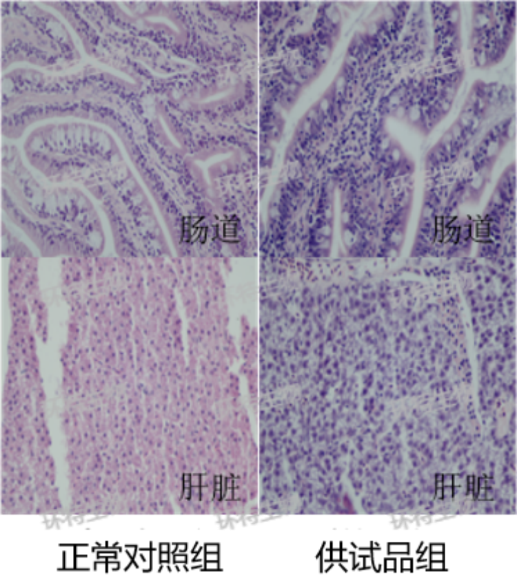
图1. 样品脏器病理切片
可以看到,供试品组肠道绒毛变短,且肝脏脂质沉积。
【评价结论】
1.供试品诱导斑马鱼肠道绒毛变短,且肝脏脂质沉积,证明供试品诱导肠道毒性以及肝脏毒性。
严正声明:以上内容所涉及的核心知识产权归杭州k8凯发生物科技股份有限公司所有。任意第三方组织或个人在未经授权的前提下抄袭、剽窃、恶意传播均属侵害我司正当权益的行为,我司不排除诉诸一切法律手段维护自身合法权益。